铁件小尾巴视觉检测有无方案书

询问题目・检测条件/要求精度
一、检测要求:
检测视野内铁件小尾巴尺寸、压伤、毛刺。
二、检测结果说明:
根据样品的评估结果,目前采用1个工控机搭载1个相机1000万像素黑白相机
三、检测时间:
视野范围:30mm
四、精 度:毛刺缺陷0.1mm,压伤缺陷0.1mm,小尾巴尺寸0.1mm.
镜头到产品工作距离WD:380mm±20mm
解决方案介绍:
使用1个1000万黑白相机,静态拍摄。

结构图
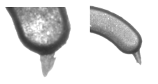
一、打光测试图片-缺陷说明
图片 | 缺陷说明 |
| 缺陷毛刺
|
| 小尾巴长
|
| 小尾巴短
|
| 缺陷压伤 |
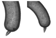
二、软件处理图片-缺陷检测结果
| 在均匀打光条件下,经软件测试图片为小尾巴长。
|
| 在均匀打光条件下,经软件测试图片为缺陷毛刺。 |
| 在均匀打光条件下,经软件测试图片为缺陷压伤 |
| 在均匀打光条件下,经软件测试图片为小尾巴短。 |
CCD视觉优势
智能算法,快速智能编程,无需人工干预,对编程人员要求低,容易上手,编程速度快,检出率高,PASS直通率高,误报低。